Un copil diagnosticat cu o infecție gravă a fost salvat de medicii de la spitalul „Toma Ciorbă”
Cristina Ghermanschi
01 martie, 2024, 16:29
Vizualizări: 2545
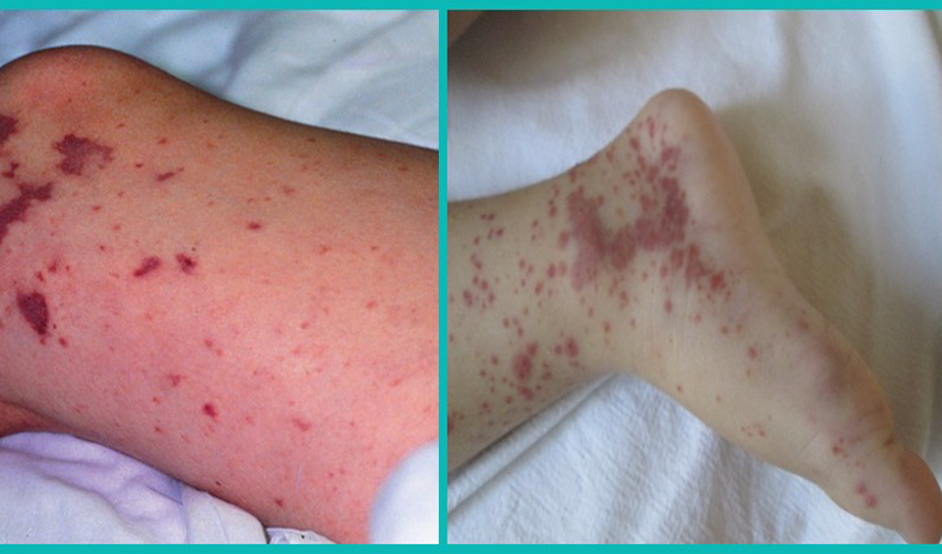
Un copil de 6 ani, diagnosticat cu o formă gravă de infecție meningococică și meningo-encefalită meningococică, a fost salvat de medicii de la Spitalul Clinic de Boli Infecțioase „Toma Ciorbă”.
Micuțul a fost internat la data de 15 februarie și pe
lângă forma gravă a bolii principale,el suferea și de alte complicații, cum ar
fi: edem cerebral (umflarea creierului), hipertensiune intracraniană (HIC),
nevrită a nervului optic (afectarea nervului optic), bronșită acută, anemie de
grad I și infecție a căilor urinare, conform informațiilor prezentate într-un
comuinicat emis de Spitalul Clinic de Boli Infecţioase „Toma Ciorbă”. Confirmarea diagnosticului s-a realizat prin
teste de biologie moleculară (PCR ADN din LCR la Neisseria Meningitidis), teste
biochimice și date clinice.
Specialiștii
spun că internarea precoce a pacientului și administrarea țintită a
tratamentului antimicrobian a contribuit la o evoluție pozitivă pe parcursul
spitalizării. Deasemenea medicii anunță că pacientul a fost externat fără
sechele, în stare satisfăcătoare.
Infecția meningococică continuă să fie o problemă actuală care afectează copiii atât din Republica Moldova, cât și din alte țări. Este una dintre cele mai grave boli infecțioase, evoluând sub diferite forme clinice: localizate, generalizate, cu afectarea sistemului nervos central. Copiii dezvoltă adesea meningită meningococică cu evoluție fulminantă și diverse complicații.

Infecția
meningococică reprezintă o patologie umană contagioasă, produsă de meningococi.
Cele mai frecvente forme de infecție meningococică sunt meningita și
meningocemia. La copii, infecția meningococică are adesea o evoluție gravă sau
chiar letală, cu risc de sechele semnificative, în cazul în care nu este
inițiat tratamentul antibacterian corespunzător.
Sursa de
infecție este reprezentată doar de om: purtătorii de meningococi și bolnavii cu
meningită, meningocemie sau rinofaringită meningococică.
Transmiterea
se face prin contact direct, prin picăturile Flugge (aerogen) provenite cel mai
des de la purtători sănătoși sau de la bolnavi cu rinofaringită meningococică.
Calea
indirectă (obiecte recent contaminate) este posibilă, dar excepțională.
Receptivitatea la infecție este generală, maximă la copii, în special cei cu vârsta de până la 6 ani (70-80%) și scade odată cu vârsta. Sezonalitatea bolii este iarna și primăvara.
În cursul lunii februarie, alte două paciente au fost aduse în Secția de Terapie Intensivă a SCBI „Toma Ciorbă” într-o stare extrem de gravă, prezentând simptome de comă cerebrală. Diagnosticul pentru ambele a fost Infecție meningococică - meningoencefalită, meningococcemie meningococică, confirmat prin teste bacteriologice. Prin inițierea rapidă și efectuarea completă a tratamentului, ambele paciente au fost externate cu recuperare totală, se arată într-un alt comunicat emis de SCBI „Toma Ciorbă”.
Tag: infecție meningococica „Toma Ciorbă”
Categoria: Știri Interne
Preluarea articolelor de pe www.sanatateinfo.md se realizează în limita maximă de 1.000 de semne. Este obligatoriu să fie citată sursa și autorul informației, iar dacă informația este preluată de către alte platforme informaționale on-line trebuie indicat link-ul direct la sursă. Preluarea integrală a informației poate fi realizată doar în baza unui acord încheiat cu Redacția Sănătate INFO. Toate materialele jurnalistice publicate pe platforma on-line www.sanatateinfo.md sunt protejate de Legea 139 privind drepturile de autor și drepturile conexe. De asemenea, de Codul Deontologic al Jurnalistului din Republica Moldova. Pe lângă actele juridice care ne protejează drepturile, mai există o lege nescrisă – cea a bunului simț.
Publicate în aceeași zi
31 ianuarie, 2017, 20:51
31 ianuarie, 2018, 10:49
31 ianuarie, 2018, 18:40
31 ianuarie, 2017, 17:29
Cele mai citite
Olga Cernețchi a preluat conducerea USMF „N.Testemițanu”, du ...
12 noiembrie, 2025, 17:43
Noul ministrul al Sănătății va fi Emil Ceban, rectorul USMF ...
27 octombrie, 2025, 10:19
Adrian Belîi: „USMF aplică IZO, orice mișcare lasă urme în d ...
07 noiembrie, 2025, 18:29
Ministrul Sănătății, Emil Ceban, explică procedura de eliber ...
11 noiembrie, 2025, 16:33
Între promisiune și realitate: Ce a reușit și ce n-a reușit ...
24 octombrie, 2025, 17:26
Cele mai actuale
Vox Populi
Cât timp așteptați o consultație la un medic specialist?
O zi13,14 %
